At Family Dentist Dum Dum, we specialize in gentle pediatric dental care designed to make children feel safe, comfortable, and confident. With a warm, friendly approach and personalized treatments, we focus on healthy smiles from the very first visit—supporting your child’s long-term oral health with care parents can trust.
Personalized dental care focused on comfort, safety, and lifelong oral health—because every smile deserves individual attention.

Advanced laser technology used for precise and gentle dental care. Reduces pain, bleeding, and healing time compared to traditional methods.

Specialized dental care for infants, children, and adolescents. Focuses on prevention, comfort, and healthy dental development.

Removes infection from inside the tooth to save it from extraction. Relieves pain while preserving the natural tooth structure.

Corrects misaligned teeth and bite problems for better oral function. Improves smile appearance and long-term dental health.

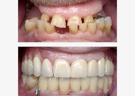
Comprehensive treatment for patients with multiple dental problems. Restores function, comfort, bite balance, and smile harmony.

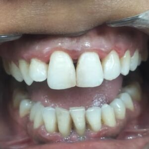
Customized cosmetic treatment to enhance tooth shape, colour, and alignment. Improves overall smile aesthetics while maintaining a natural appearance.

Permanent replacement for missing teeth that looks and functions like natural teeth. Restores chewing ability, speech, and facial balance with long-term stability.



Community Showcase
This page is a public-interest showcase created using information shared publicly online. If you represent this practice and would like to update or claim this page, please contact bizz@bizz.st
Family Dentist Dum Dum is proudly powered by WordPress